Para contestar esta pregunta entendamos que pasa dentro del pie de un caballo con laminitis.

Como se tiene bien sabido, la tercera falange (Hueso del tejuelo) puede rotar dentro del casco de un caballo con severa laminitis, así entonces, ¿Por qué existe un pobre pronóstico después de éste evento?.
Investigadores se estan enfocando en los cambios microscopicos en los tejidos dentro del casco (epitelio laminar) antes, durante y después del inicio de lamitis. Entendiendo estos cambios puede ayudar a la ciencia a comprender como prevenir estos cambios que hacenuna enfermedad dolorosa.
En la 52th Convención Americana de Veterinarios en San Antonio, Texas, el MACVSc Andrew van Eps de la Universidad de Pensylvania discutio un estudio donde se exponian los resultados de diferentes biopsias de cascos en caballos con laminitis inducida.
Microanatomia laminar
Dentro del casco del caballo se encuentra la tercera falange, la cual está conectada con 600 láminas epidermales primarias (PEL), 200 láminas más pequeñas llamadas Láminas epidermales secundarias (SEL). Estas láminas interconectadas están unidas a su vez a láminas dermales primarias y secundarias, (PDL y SDL) respectivamente. El sistema laminar mide 1m2 por cada casco.
La membrana basal está unida a las láminas mediante hemidesmosomas, conformando un citoesqueleto entre las láminas epidermales y la pared del casco, es el componente clave “Casco-Hueso”.
En general la laminitis puede ocurrir en situaciones donde la glucosa “uptake”, la membrana basal se ve comprometida (ejemplos, Enfermedad de Cushing, obesidad, hiperlipidemia o concentraciones anormales altas de grasas en plasma sanguineo, isquemia o bajo aporte sanguineo, septicemia o infecciones/toxinas en la sangre) donde la MMPS(metaloproteinasas) laminar está activada ( con sobrecarga de carbohidratos gastrointestinal). Así entonces la terapia de ataque va enfocada en evitar la alteración en los hemidesmosomas, disminuir el pico de glucosa que causa una lesion y la activación del MMP (Enzima que destruye el epitelio laminar).
Eventos laminares durante la Laminitis.
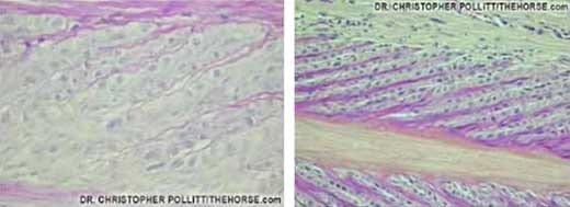
En el siguiente estudio se evaluo la estructura laminar mediante biopsias de cascos, tomadas cada 6 hrs hasta las 48 hrs después de la inducción de laminitis con sobrecarga de carbohidratos, utilizando 5 caballos Standarbreed con nula evidencia de enfermedad de sus cascos, se estudiarón los cambios en el tamaño e integridad de la lámina y membrana basal (BM) .

Caballos control (No laminitis) Las biopsias fueron tomados 48 hrs fuera del período del estudio. Las laminas epidermales secundarias no estan punteadas. Ellos muestran una altura uniforme y angulo relativo de su PEL. La BM esta adherida a la SEL, penetrando profundamente dentro de las criptas entre SEL adjacente.

Caballos con laminitis, 12 hrs después de la inducción de laminitis. Dos de los cinco caballos mostraron moderados cambios microscopicos, SEL fue elongada, con mas areas punteadas y mas celulas redondas nucleadas (que normalmente son ovales y orientadas perpendiculares a la longitud de la SEL). La BM aparece con menos integridad en la base de la SDL. Los cambios tienden a ocurrir solamente sobre el lado de la PEL. Este escenario corresponde a la enfermedad temprana y refleja los cambios histólogicos más importantes en el pie afectado.
A las 12 hrs, alrededor de las SEL, las células nucleadas es el primer cambio observable.

A las 18 hrs, por éste tiempo, la separación de la BM de las SEL continuaron en 2 caballos mostrando cambios. Estas separaciones resultaron en una menor integridad de la Membrana basal y la base de las SEL, en algunos casos desaparecio enteramente. Los cambios fueron primariamente limitados a un lado de la PEL.
La SEL fue más delgada y mas elongada con mas zonas punteadas, debido a la estreches. Las celulas nucleadas de la SEL fue mas redondas y uno de los caballos evidencio claudicación clinicamente. La SDL tambien continuo mas delgada.
Un caballo adicional mostró cambios moderados vistos en los otros dos caballos a las 12hrs.

A las 24hrs, los dos caballos afectados mas tempranamente mostraron cambios progresivos en la arquitecutra tisular. Las laminas epidermales secundarias fueron más elongadas, sus ángulos relativos a su PEL fue más agudo y con más núcleos redondos.
Hay mas pérdida de BM de sus criptas, probablemente uno de los signos más evidentes. Dos de los caballos mostraron nulos cambios, mientras que el caballo afectado tardiamente mostro algunos cambios de su arquitectura laminar comparable a los ejemplos de las 18hrs de los primeros dos caballos.
A las 30hrs, los cambios previamente discutidos incrementados en severidad para los tres caballos afectados inicialmente. Uno de los caballos continuo mostrando cambios comparables a los cambios sucedidos a las 12hrs para los otros caballos. El último caballo también continuo mostrando bloqueo parcial de un vaso sanguíneo con fibrina.
Esto es un punto importante. La imagen demuestra que virtualmente todos los caballos no formaron trombos (coagulos sanguineos) dentro de los vasos sanguineos. Otras teorias de investigación, los coagulos sanguineos son hipoteticamente la causa de la laminitis por la reducción o bloqueo del flujo sanguineo. En dos lados, pequeños coagulos de fibrina fueron evidentes pero no fueron de las paredes de los vasos y no tiene las caracteristicas tipicas de un trombo. El importante pensamiento sobre que los dos pequeños coagulos de fibrina ocurrieron después de otros cambios microscopicos más importantes, asi entonces, ellos fueron resultado de la enfermedad, más no la causa de ésta.

36 hrs, los cambios en la arquitectura laminar continua en todos los caballos, tanto en su SDL como en su SEL, en los caballos afectados tempranamente. La BM desaparece enteramente entre las bases de la SEL.

48 hrs (postmortem). En los caballos afectados tempranamente, la SEL fue extremadamente elongada, y su celula nucleada fueron orientadas a lo largo de la SEL(90º de su orientación normal). La BM extensiva desarticulada de la SEL fue observado también, como espacios entre las láminas más evidentes. En algunos casos, vesiculas completas de BM desarticuladas fueron vistas.
Puntos adicionales
Los eventos concurrentes incluidos como la proliferación explosiva de bacterias Streptococcus y la ausencia de Enterobacteriacea en intestino..
La Oligofructuosa (carbohidrato usado para inducir laminitis) en el ciego promueve rapida, masiva sobrecrecimiento de S.bovis. El epitelio del intestino y el daño de la BM presentan un daño laminar. Hay evidencia del epitelio mucoso y la infiltración de leucocitos (celulas blancas).
El también notó edema (fluido inflamatorio) alrededor de las celulas sólo evidente en un caballos y solo a las 48 hrs. Sólo signos moderados de inflamación fueron vistos en muestras de 48hrs con lesiones avanzadas.
Signos clinicos
Moderadamente se incremento el pulso digital, fue primeramente detectado a las 13-29 hrs y continuó mas pronunciado de este tiempo. El constante peso de la laminitis fue visto en todos los caballos comenzando de 20 a 43 horas después de la inducción. La claudicación en 4 de cinco caballos progreso con signos de laminitis severa evidente en todos los cuatro miembros, Exhibiendo moderada claudicación en todos los miembros. Todos los caballos desarrollaron moderado a transiente marcado (6 a 8 horas de duración), epifora (ojos con lagrimeo), blefarospasmo (inflamación de los párpados) y opacidad corneal, con edema corneal diagnosticado clinicamente entre las 30 y 40 hrs. La teoria de que la BM corneal fue afectada similar a la BM laminar, pero las biopsias corneals no pudieron ser tomadas para confirmar esta teoria. Los problemas de ojo tuvieron resolución a las 48hrs.
Resumen
Las lesiones histologicas laminares son presentes tan temprano con las 12hrs (después de que el factor causante fue administrado), antes el rol de signos clinicos de laminitis ocurrieron alrededor de las 24hrs. La desintegración de la membrana basal y desarticulación fueron eventos patologicos tempranos. La falla de la BM resulta inicialmente en la estrechez de las uniones epidermo-dermales, completando la desarticulación. La terapia eficaz debe comenzar antes de las 12hrs, nosotros necesitamos tratar estos caballos muy tempranamente sí nosotros queremos prevenir daño.