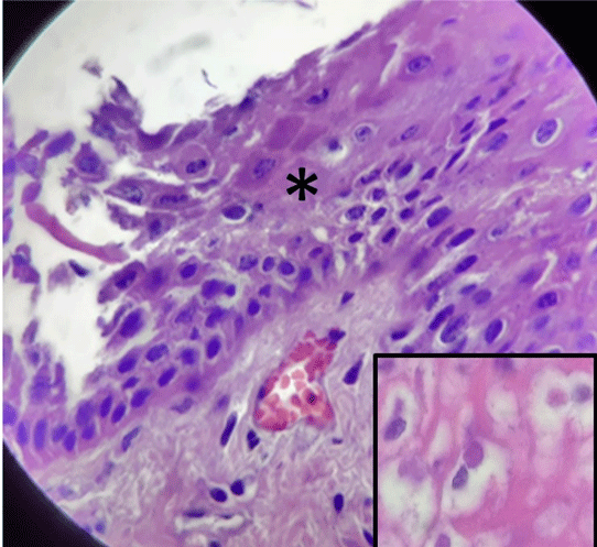
La Estomatitis Papular Bovina (BPSV) es una enfermedad viral caracterizada por la formación de pápulas o nódulos en morro, labios, lengua y mucosa oral. En Argentina, existen escasos registros de su presencia. Se comunica un caso de BPSV observado en terneros de un establecimiento lechero. El comportamiento clínico-epidemiológico, los hallazgos patológicos y la identificación del agente mediante biología molecular son concluyentes para la confirmación del mismo. El sistema de crianza artificial y la falta de algunas medidas sanitarias, favorecieron la transmisión de la enfermedad entre los terneros.
Keywords: estomatitis papular, terneros, tambo, Papular Stomatitis, calves, dairy farm.




-Bohelay, G., Duong, T.(2017). Infecciones por poxvirus en humanos. EMC – Dermatología. 51(3): 1-9 http://dx.doi.org/10.1016/S1761-2896(17)85923-
-Büttner, M., Rziha, H. (2002). Parapoxvirus: from the lesion to the viral genome". Journal of Veterinary Medicine Series B, 49(1), 7-16.
-Cicculli, V., Ayhan, N., Luciani, L., Pezzi, L., Maitre, A., Decarreaux, D., Lamballerie, X., Paoli, J., Vial, L., Charrel, R., Falchi, A. (2022). Molecular detection of parapoxvirus in Ixodidae ticks collected from cattle in Corsica, France. Veterinary Medicine and Science, 8(2), 907-916.
-De Sant' Ana, F., Rabelo, R., Vulcani, V., Cargnelutti, F., Flores, E. (2012). Bovine papular stomatitis affecting dairy cows and milkers in midwestern Brazil. Journal of Veterinary Diagnosic Investigation, 24(2), 442-445
- Cargnelutti, J., Silva Santos, B., das Neves Lebre, S., Naihane Alves Sodre, D.; Mandu da Silva, R. Weiblen, R. (2014). Pseudocowpox and papular stomatitis in cattle in the Rondonia state, Brazil. Ciencia Rural. 44(3), 479-485.
-Friederichs, S., Krebs, S., Blum, H., Lang, H., Buttner, M. (2015). Parapoxvirus (PPV) of red deer reveals subclinical infection and confirms a unique species. Journal of General Virology, 96(6), 1446-1462.
-García, M. (1986). Estudio de una patología similar a estomatitis papular bovina. XIV Jornadas Uruguayas de Buiatría, Paisandú, Uruguay, -Hart, L., Hayston, J., Keast, J. (1949). Observation on contagious pustular dermatitis of sheep. Australian Veterinary Journal, 25(3), 40-45.
-Inoshima, Y., Morooka, A., Sentsui, H. (2000). Detection and diagnosis of parapoxvirus by the polymerase chain reaction. Journal of Virological Methods. 84(2), 201–208.
-Kato, M., Kawashima, D., Ito, Y., Yamamoto, O., Nakajima, H., Oizumi, T., Shimizu, K, Inoshima, Y. (2021). Successful measures to prevent the spread of bovine papular stomatitis in a dairy farm. Journal of Veterinary Medical Science, 83(2): 304–308 doi: 10.1292/jvms.20-0554.
-Livingston, C., Hardy, W. (1960). Longevity of contagious ecthyma virus. Journal of the American Veterinary Association, 137: 651.
-Micheloud, J., Aguirre, L., Sandoval, G., Avellaneda Cáceres, A., Diodati, J., Peralta, A. (2019). Detection and first molecular characterization of bovine papular stomatitis virus in dairy calves in Argentina. Tropical animal health and production, 52(1), 453-459. https://doi.org/10.1007/s11250-019-02006-w
-Ouedraogo, A., Luciani, L., Zannou, O., Biguezoton, A., Pezzi, L., irion, L., Belem, A., Saegerman, C., Charrel, M., Lempereur, L. (2020). Detection of two species of the genus Parapoxvirus (Bovine Papular Stomatitis Virus and Pseudocowpox Virus) in ticks infesting cattle in Burkina Faso. Microorganisms. 8: 644. doi:10.3390/microorganisms8050644.
-Servicio Nacional de Sanidad y Calidad Agroalimentaria (Senasa). (2020). Disponible en: https://www.argentina.gob.ar/noticias/atencion-de-sospecha-de-enfermeda d-en-bovinos-descarto-aftosa-y-estomatitis
-Yaegashi, G., Fukunari, K., Oyama, T., Murukami, R., Inoshima, Y. (2016). Detection and quantification of parapoxvirus DNA by use of a quantitative real-time polymerase chain reaction assay in calves without clinical signs of parapoxvirus infection. American Journal of Veterinary Research, 77(4), 383-387
